عين إلكترونية.. جراحة مبتكرة تعيد الأمل لمكفوفين فقدوا البصر

قالت دراسة علمية إن أشخاصاً فقدوا بصرهم بسبب مرض التنكس البقعي المرتبط بتقدم العمر، تمكنوا من استعادة قدرتهم على القراءة بعد علاجهم بزرع عين إلكترونية متصلة بنظارات تعتمد على الواقع المعزز.
ووصف الباحثون الأمر بأنه “يفتح عصراً جديداً في تاريخ الرؤية الاصطناعية”. وأظهرت نتائج التجربة الأوروبية، التي أجريت بمشاركة باحثين من كلية لندن الجامعية ومستشفى مورفيلدز للعيون في بريطانيا، أن 84% من المشاركين تمكنوا من قراءة الحروف والأرقام والكلمات باستخدام الرؤية الاصطناعية في عينهم التي فقدت بصرها سابقاً.
وأثبتت التجربة السريرية، المنشورة في دورية New England Journal of Medicine، أن المرضى الذين خضعوا للعلاج استطاعوا أيضاً قراءة ما متوسطه 5 سطور في لوحة فحص النظر، بعد أن كانوا غير قادرين على رؤية اللوحة من الأساس قبل الجراحة. 
وشارك في التجربة 38 مريضاً في 17 مركزاًَ طبياً عبر 5 دول أوروبية، وجرب خلالها جهاز مبتكر يدعى “بريما”، وهو أول زرع بصري في العالم يعيد القدرة على القراءة لعين فقدت بصرها كلياً.

ومرض “التنكس البقعي الجاف” هو أحد أكثر أسباب العمى شيوعاً بين كبار السن، إذ يؤدي إلى تدهور بطيء في خلايا البقعة الشبكية المسؤولة عن الرؤية المركزية، ومع مرور الوقت تموت الخلايا الحساسة للضوء وتذوب المنطقة المركزية من الشبكية في عملية تعرف باسم “الضمور الجغرافي”.
وأكد الباحثون أن هذا النوع من الضمور يؤدي إلى فقدان تدريجي للرؤية المركزية، ثم إلى العمى الكامل في العين المصابة، دون وجود أي علاج متاح حتى الآن، رغم أنه يصيب نحو 5 ملايين شخص حول العالم.
وأكد الباحثون أن جميع المرضى المشاركين في التجربة كانوا قد فقدوا البصر المركزي في العين التي خضعت للزرع، ولم يتبقّ لديهم سوى قدر محدود من الرؤية المحيطية. وأتاح الجهاز المزروع لهؤلاء المرضى استعادة جزء من الرؤية المركزية، بما مكنهم من قراءة النصوص مرة أخرى.
وقال المؤلف الرئيسي للدراسة، ماهي مقيط، الأستاذ المساعد في معهد طب العيون بكلية لندن الجامعية واستشاري جراحة الشبكية والجسم الزجاجي في مستشفى مورفيلدز، إن هذه التقنية تمثل “بداية حقبة جديدة في تاريخ الرؤية الاصطناعية”، مضيفاً أنه “ولأول مرة يتمكن مرضى العمى من استعادة رؤية مركزية ذات معنى، وهو ما لم يحدث من قبل”.
وأكد “مقيط” أن استعادة القدرة على القراءة تمثل “قفزة هائلة في جودة حياة المرضى، لأنها تمنحهم ثقة أكبر واستقلالية في حياتهم اليومية”.
وأشار إلى أن العملية الجراحية التي تزرع فيها شريحة “بريما” يمكن لأي جراح شبكية مدرب أن يجريها بأمان خلال أقل من ساعتين، وهو ما يجعل العلاج متاحاً على نطاق واسع مستقبلاً لجميع المصابين بالضمور الجغرافي الناتج عن التنكس البقعي الجاف.
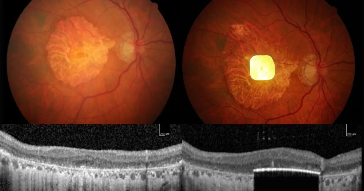
وبين الأطباء أن العملية تبدأ بإزالة الجسم الزجاجي من العين في إجراء يعرف بـ”استئصال الجسم الزجاجي”، ثم يقوم الجراح بإدخال شريحة دقيقة للغاية في حجم بطاقة الهاتف المحمول تقريباً، تبلغ أبعادها 2 × 2 مليمتر، ويتم وضعها أسفل مركز الشبكية بعد فتح “باب” دقيق لإيصالها إلى الموضع المطلوب.
بعد ذلك يزود المريض بنظارات تعتمد على الواقع المعزز تحتوي على كاميرا فيديو متصلة بحاسوب صغير يمكن تثبيته على الخصر، ويحتوي النظام على خاصية التكبير لتسهيل القراءة.

التنكس البقعي الجاف

اضطراب يصيب العين ويؤثر على الرؤية المركزية لدى البالغين فوق سن الخمسين .
يحدث بسبب تدهور تدريجي في البقعة الشبكية المسؤولة عن الرؤية الدقيقة .
يبدأ عادة بضعف في الرؤية أو ضبابية في مركز مجال الإبصار .
يرى المصاب الخطوط المستقيمة كأنها منحنية أو مموجة .
تزداد الحاجة إلى إضاءة قوية أثناء القراءة أو أداء المهام البصرية الدقيقة .
يواجه الشخص صعوبة في الرؤية في الأماكن المظلمة أو عند الانتقال من الضوء إلى الظلام .
  لا يوجد علاج نهائي له، لكن يمكن إبطاء تقدمه عبر تغييرات في نمط الحياة .
  الشيخوخة تعد السبب الرئيسي للإصابة، خاصة بعد سن الخمسين .
  يؤدي تراكم رواسب صفراء صغيرة تُعرف باسم “براريق” تحت الشبكية إلى تلف البقعة .
  يزداد خطر الإصابة لدى من لديهم تاريخ عائلي للمرض .
  التدخين يعد من أبرز العوامل التي تسرع تدهور الحالة .
  النظام الغذائي غير الصحي الغني بالدهون المشبعة يسهم في تفاقم المرض .
  ارتفاع ضغط الدم قد يزيد من احتمالية الإصابة أو تدهور الحالة .
  تناول أطعمة غنية بمضادات الأكسدة مثل فيتامين C و E واللوتين والزياكسانثين يساعد في حماية العين .
  أحماض أوميجا 3 الدهنية المفيدة في الأسماك تقلل من خطر تدهور البقعة .
  الإقلاع عن التدخين خطوة أساسية للحفاظ على صحة العين .
  ارتداء نظارات واقية يحمي العين من الأشعة فوق البنفسجية التي تسرع التلف .
  يمكن استخدام مكملات غذائية تحتوي على مضادات الأكسدة لتقليل خطر تطور المرض إلى الشكل الرطب .
  العدسات المكبرة والنظارات الخاصة وأجهزة التكبير الإلكترونية تساعد المصابين على القراءة والرؤية بوضوح أكبر .
  من المهم إجراء فحوصات دورية للعين لمتابعة التغيرات في البقعة والتدخل المبكر عند الحاجة .
 في الحالات المتقدمة يمكن اللجوء إلى زراعة عدسة تلسكوبية صغيرة لتحسين الرؤية المركزية.

وأظهرت النتائج أن الشريحة تبدأ في العمل بعد نحو شهر من العملية، حين يهدأ وضع العين. وتقوم الكاميرا المثبتة في النظارات بالتقاط المشهد البصري وإرساله كإشارة ضوئية بالأشعة تحت الحمراء إلى داخل العين، حيث تنشط الشريحة المزروعة.
وتعالج خوارزميات الذكاء الاصطناعي في الحاسوب المثبت على الخصر هذه الإشارة وتحولها إلى نبضات كهربائية تنتقل عبر خلايا الشبكية والعصب البصري إلى الدماغ، ليترجمها إلى صورة بصرية.
وأكد الفريق البحثي أن المرضى استخدموا النظارات لمسح النصوص والأجسام المرئية، بينما استخدموا ميزة التكبير لتوضيح الحروف والكلمات، ثم خضعوا لبرنامج إعادة تأهيل مكثف استمر عدة أشهر لتدريبهم على تفسير الإشارات البصرية الجديدة والتكيف مع الرؤية الاصطناعية.
وأظهرت المتابعة الطبية أن الرؤية المحيطية لدى المشاركين لم تتأثر سلباً بعد العملية، وأن الجهاز لم يسبب تدهوراً إضافياً في الجزء السليم من العين.
وأكد الباحثون أن هذه النتائج تمهد الطريق للحصول على موافقة رسمية لتسويق الجهاز في المستقبل القريب.
وأوضحت المريضة البريطانية شيلا إرفين، وهي إحدى المشاركات في التجربة بمستشفى مورفيلدز، أنها قررت المشاركة “من أجل مساعدة الأجيال القادمة”.
وقالت: “كنت أعاني من بقعتين سوداويتين في عينيّ، وكل ما حولهما كان يبدو مشوهاً.. كنت قارئة نهمة، وافتقدت ذلك بشدة.. وعندما أخبرني الطبيب عن التجربة شعرت بالخوف والحماس في الوقت نفسه”.

وروت المريضة تجربتها قائلة: “لم أشعر بألم أثناء العملية رغم أنني كنت مدركة لما يحدث، وبعد الزرع كان الأمر أشبه بطريقة جديدة تماماً للنظر إلى العالم، ولحظة رؤية أول حرف كانت مثيرة للغاية، فالأمر ليس سهلاً، فالتعلم على القراءة من جديد يحتاج وقتاً، لكن كلما قضيت ساعات أطول في التدريب تحسنت قدرتي على تفسير الصور”.
وأضافت: “الفريق الطبي وضع لي تحديات مثل قراءة وصفة الأدوية الصغيرة، أو النظر إلى الكتابات الدقيقة على عبوات الطعام، وأحب ذلك لأنني أشعر أنني أستعيد قدرتي القديمة شيئاً فشيئاً.. لقد عاد الأمل لحياتي، وأصبحت أكثر تفاؤلاً”.
والجهاز عبارة عن زرع فوتوفولتي ضوئي لاسلكي يوضع تحت الشبكية، ويعمل بالتكامل مع نظارات خاصة تبث الضوء بالأشعة تحت الحمراء مباشرة نحو الشريحة، لتعمل كلوح شمسي مصغر يحول الضوء إلى طاقة كهربائية.
ويبلغ سمك الجهاز 30 ميكرومتر فقط، أي ما يعادل نصف سمك شعرة الإنسان تقريباً، ويزرع في الطبقة الشبكية التحتية تحت الخلايا الميتة. ولا يصدر أي إشارات أو محفزات بصرية إلى الدماغ إلا بعد تشغيل النظام الكامل عبر النظارات والحاسوب المحمول المثبت على الخصر.

وأشار الباحثون إلى أن خاصية التكبير في الجهاز تسمح للمرضى بتكبير الحروف بسهولة أثناء القراءة.
وإلى جانب التدريبات اليومية، شجع المرضى على استكشاف استخدامات إضافية للجهاز، فقد استخدمت شيلا إرفين قدرتها الجديدة على الرؤية لحل الألغاز والكلمات المتقاطعة، بينما استخدم أحد المرضى الفرنسيين الجهاز للتنقل في مترو باريس، وهو إنجاز أكثر تعقيداً من القراءة وحدها.
وأكد “مقيط” أن هذا الابتكار “يفتح الباب أمام أجهزة طبية جديدة في مجال علاج أمراض العين، خصوصاً في ظل غياب أي علاج معتمد حالياً للتنكس البقعي الجاف”. 
وأضاف أن التقنية قد تستخدم مستقبلاً لعلاج أنواع أخرى من فقدان البصر، مشدداً على أن “إعادة التأهيل تمثل العنصر الأساسي في نجاح هذه الأجهزة، فالأمر لا يقتصر على زرع شريحة فحسب، بل على تدريب الدماغ على طريقة جديدة للرؤية”.
وأوضح “مقيط” أن المرضى الذين شاركوا في التجربة كانوا من كبار السن الذين فقدوا القدرة على القراءة والكتابة والتعرف على الوجوه بسبب العمى، وأنهم “انتقلوا من الظلام الكامل إلى استعادة بصر جزئي يمكّنهم من التفاعل مع العالم مجدداً”.
وأشار إلى أن الأبحاث السابقة أثبتت أن “القدرة على القراءة هي أكثر ما يفتقده المرضى المصابون بفقدان تدريجي في البصر”.
ويقول الباحثون إن النتائج تشكل خطوة كبيرة في طريق استعادة البصر الصناعي، وتمثل نقلة نوعية في علاج أمراض العين التنكسية.
وأشاروا إلى أن استعادة المرضى قدرتهم على القراءة ليس مجرد إنجاز طبي، بل حدث إنساني يعيد الأمل لملايين الأشخاص حول العالم الذين يعيشون في ظلام دامس بسبب أمراض الشبكية.
وأكد الفريق العلمي أن الخطوة التالية ستكون التوسع في التجارب للحصول على الموافقات التنظيمية في أوروبا والولايات المتحدة، ودمج تقنيات الذكاء الاصطناعي المتقدمة لتحسين دقة الإشارات وتحويل الرؤية الاصطناعية إلى تجربة بصرية أكثر وضوحاً وتفصيلاً. 
ورأى الباحثون أن التجربة تمثل تحولاً جذرياً في مفهوم “العمى الدائم”، إذ تثبت أن فقدان البصر لم يعد نهاية الطريق، وأن التكنولوجيا الحديثة قادرة على إعادة النور إلى عيون فقدته منذ سنوات.
وأكدوا أن هذا النجاح ليس نهاية البحث، بل بدايته، وأن السنوات المقبلة ستشهد تطوير أجيال أكثر تطوراً من شرائح الرؤية الاصطناعية، تتيح للمرضى رؤية الوجوه والألوان والأجسام بوضوح أكبر.

Exit mobile version